- +49 (0)30 765925-0
- service@quartett.com
- +49 (0)30 765925-55


Anwendung: IHC (FFPE)
Wirt: Kaninchen
Unterklasse: IgG
Immunogen: Synthetisches Peptid aus humanem C4d
Verdünnungsbereich: 1:100 – 1:200
Zelluläre Lokalisation: Zellkern
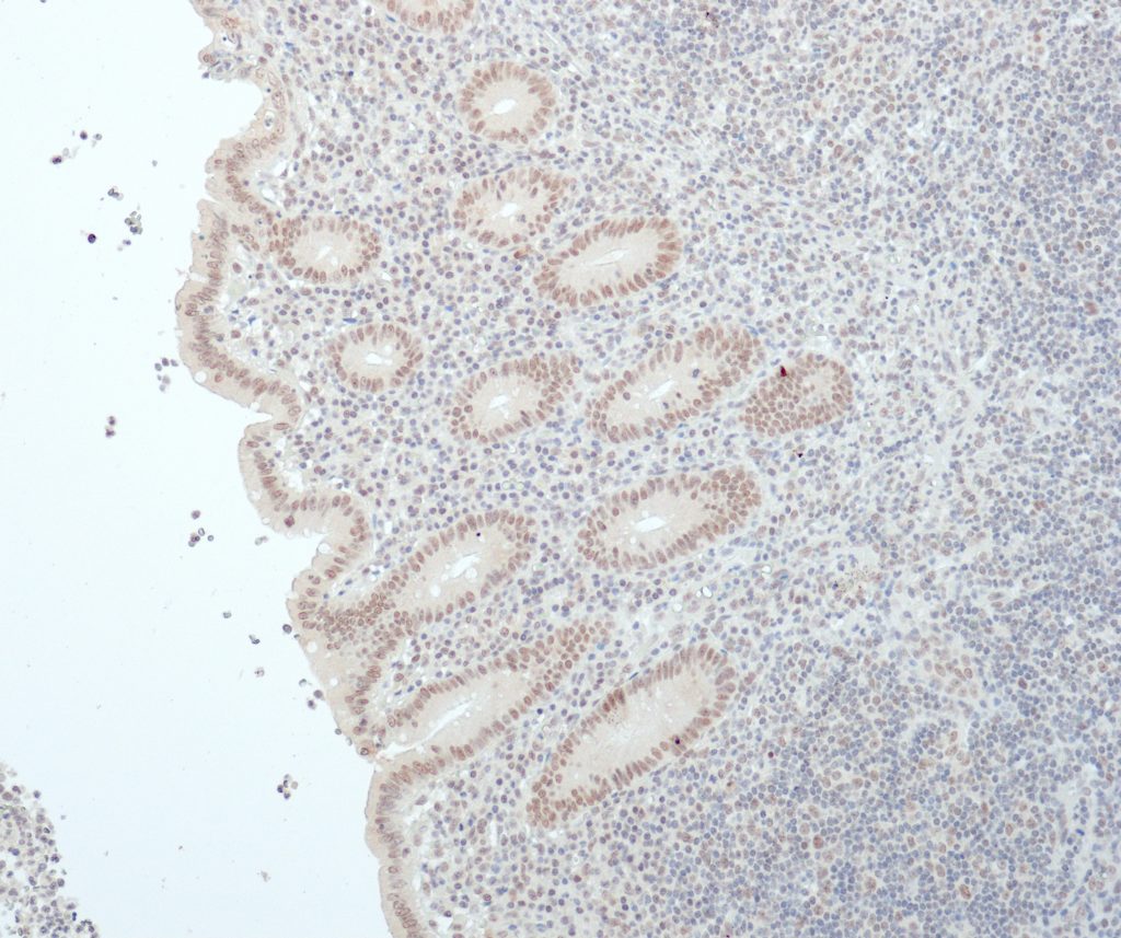
Kontrolle: Tonsille, Kolon, Apendix
Anwendung:
Wirt:
Unterklasse:
Immunogen:
Verdünnungsbereich:
Zelluläre Lokalisation:
Kontrolle:
IHC (FFPE)
Kaninchen
IgG
Synthetisches Peptid aus humanem BAP1
1:100 – 1:200
Zellkern
Tonsille, Kolon, Apendix
| C-B005-01 | 0,1 ml Konzentrat | IVDR |
| C-B005-05 | 0,5 ml Konzentrat | IVDR |
| C-B005-10 | 1 ml Konzentrat | IVDR |
| P-B005-30 | 3 ml Gebrauchsfertig | IVDR |
| P-B005-70 | 7 ml Gebrauchsfertig | IVDR |
| P-B005-150 | 15 ml Gebrauchsfertig | IVDR |
24/7 erreichbar per E-Mail
Wir freuen uns auf Ihren Anruf
Am Mühlenberg 4, 14476 Potsdam
Fax Nummer